SPN
Encontro Renal 2026
Sociedade
Recursos
Público
Notícias
Eventos
Contactos
Sócios
Notícias
Arquivo de Notícias
Eventos
Próximos Eventos
Encontro Renal 2026
XL Congresso Português de Nefrologia
XL Congresso APEDT
Submissão de abstracts
Sociedade
Sobre
Orgãos Sociais
Comissão Científica
Gabinete de Registo de Doença Renal Crónica
Gabinete de Registo de Biopsias Renais
Grupo de Trabalho de Diálise Peritoneal
Grupo de Trabalho de Histomorfologia Renal
Grupo de Trabalho de Imunonefrologia
Grupo de Trabalho de Nefrologia de Translação
Grupo de Trabalho de Nefrogenética
Grupo de Trabalho de Onconefrologia
Grupo de Trabalho de Tratamento Médico Conservador
Grupo de Trabalho de Nefrologia de Intervenção
Grupo de Trabalho de Doenças Cardiorrenometabólicas
Núcleo de Médicos Internos de Nefrologia
Direções Anteriores
Membros Honorários
Estatutos e Regulamentos
Prémios e Bolsas
Patrocinadores e Parceiros
Portuguese Journal of Nephrology and Hypertension
Browse Issues
Pesquisar
Recursos
Sobre os Recursos SPN
Portuguese Kidney Journal
Abstracts Encontro Renal
SPN News
Ligações de Interesse
Logótipo SPN
Público
Dia Mundial do Rim
Guia para viver com a Doença Renal Crónica
Vasculite Anca e Doença Renal
Tratamento Médico Conservador
Diretivas Antecipadas de Vontade ou Testamento Vital
Informações para Cuidadores
Perguntas Frequentes
Centros de Nefrologia
Sócios
Perfil de Sócio
Renovação de Quotas
Protocolo SPN / ERA
Ensaios Clínicos
Biblioteca Digital
Galeria de Fotos
Contactos
Política de Privacidade
Best of Era 2023
Registo de Novo Sócio
Acesso à Área de Sócios
Recuperar Password de Acesso
Redefinir Password de Acesso
Dia Mundial do Rim
Notícias
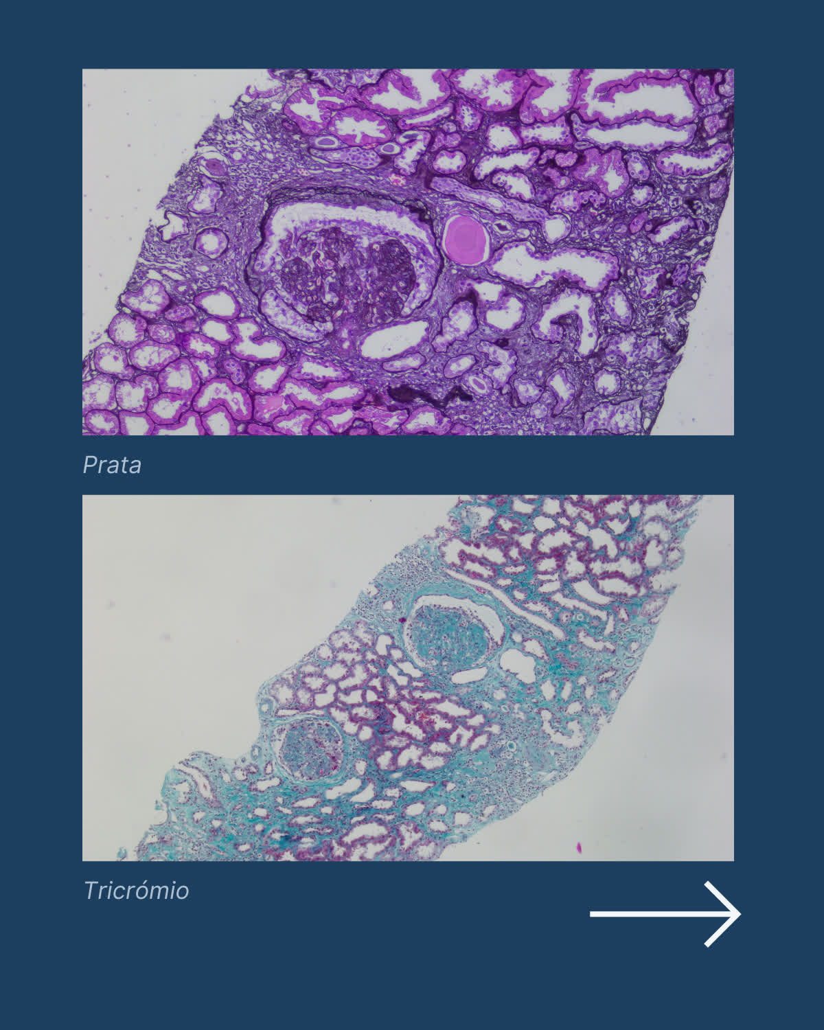
NefroQuiz Jan 2026
Página Inicial
Notícias
NefroQuiz Jan 2026
NefroQuiz Jan 2026
Encontrará a resposta no seguinte link:
https://forms.gle/kNMJMRoVTV3SqAbx9